오늘은 운동을 하다가 발을 접질린 후에 발생한 5번째 발등뼈 골절로 내원한 35세 여자 환자분의 이야기입니다. 발등뼈 골절이 관절면이 어긋나 있고 벌어져서 수술적 치료를 시행하였습니다. 이후 이루어지는 회복 기간 및 재활치료, 핀제거 시기에 대한 것을 이야기해 보겠습니다.

안녕하세요 류쌤 입니다. 정형외과 전문의가 직접 진료 보고 느낀 점을 여러분들과 공유하기 위해서 직접 작성하였습니다.

목차
1.발골절 증상
2. 발골절 진단
3. 발골절 수술적 치료
4. 발골절 회복 기간 및 재활
발 골절 증상
운동하다가 발을 접질렀는데 운동 당시에는 아파도 참을만 해서 골절이 아닌 줄 알았어요.
라는 증상과 함께 내원하셨습니다. 하루 정도는 그냥 지켜봤는데 부기가 너무 안 빠지고 해서 병원에 갔더니 지금은 골절인지 정확하게 알 수 없다고 해서 원장님한테 다시 와봤어요.

발골절 진단
환자분의 이야기를 들어보고 환자분의 발의 상태를 확인해 보니 골절일 수 있겠다는 생각이 매우 많이 들었습니다.

환자분의 발 x-ray입니다.


사진상에서 보면 빨간 동그라미 안에 골절이 발생하면서 뼈가 어긋나 보이는 게 관찰이 됩니다. 관절 내 골절이기 때문에 수술적 치료를 하지 않으면 추후에 관절염으로 인해서 더 큰 수술을 해야 할 수 있습니다.
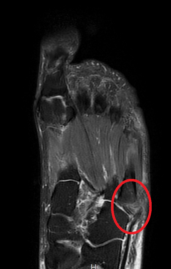
환자분의 MRI입니다.


MRI 상에서 빨간 동그라미 안에 골절은 보이지만 옆에 붙어 있는 힘줄의 손상은 없기 때문에 힘줄 수술까지는 필요 없어 보입니다. 불행 중 다행입니다.

발골절 수술적 치료
환자분은 수술적 치료로 결정을 하였고 수술은 약 20분 정도 걸렸습니다. 수술은 골절 부위를 맞춰주고 철심 2개를 이용하여 든든하게 고정하였습니다.
수술 후 x-ray입니다.


x-ray에서 보면 골절이 어디에 있는지 알 수 없을 정도로 수술은 잘 되었습니다.

발 골절 수술 후 회복기간 및 핀 제거 시기
발 골절이 생겼다면?

너무 슬퍼하지 마세요. 일단은 수술을 해야 한다면 수술을 시행을 해야 합니다. 그리고 보통 2일이 지나면 부기가 어느 정도 빠지기 때문에 통깁스를 시행할 수 있습니다.

통깁스를 시행하면 그날부터는 목발을 이용해서 걸을 수 있습니다. 집에서는 목발 없이 걸을 수 있습니다. 물론 수술한 발에 체중을 50% 이상 실어도 됩니다. 통깁스 4주의 시간이 지나면 통깁스를 풀고 보조기 신발로 바꿉니다.

이때 환자분들이 착각을 쉽게 하는 것이 뼈가 붙어서 보조기로 바꾸는 것이 아니라 발목을 너무 오랫동안 잡아 놓으면 발목이 굳기 때문에 보조기로 바꾸는 것입니다. 절대 보조기 벗고 돌아다니시면 안 됩니다. 물론 집안에서는 아무것도 없이 생활할 수 있습니다.
자 힘든 보조기 생활도 4주간 생활을 하고 나면 이제는 일반적인 신발을 신고 일상적인 생활을 할 수 있습니다. 처음에는 발이 붓어서 타이트한 신발을 신기는 힘들지만 부기가 3-4달 정도 지나면 빠지기 때문에 서서히 이쁜 신발도 신을 수 있습니다.
골절 후에 재활은 통깁스를 한 상태부터 바로 시작이 되는 것입니다. 발을 디디면서 걷는 것 자체도 재활이고 보조기 신발을 신고 체중을 부하하는 것 자체도 재활 치료의 일부분입니다. 이후 한발로 서기, 두발로 뒤꿈치 들기, 한발로 서서 뒤꿈치 들기 순으로 연습을 하다 보면 어느새 운동을 할 수 있는 상태로 변할 것입니다. 이후 발등뼈 골절의 핀제거 시기는 6개월 정도 지나면 가능합니다.
같이 읽으면 도움이 되는 글.
https://wordpress.com/post/osryu.com/42
WordPress.com
wordpress.com
무릎 아래 통증 슬개건염의 치료 및 재활운동 방법
오늘 내용 중에 궁금한 것이 있으시면 언제든지 댓글 적어주시면 감사하겠습니다.

'발, 발바닥 통증' 카테고리의 다른 글
| 거골하 관절염의 원인 평발, 자가 진단법 (0) | 2024.07.01 |
|---|---|
| 발바닥에 혹이 생겼는데 아파요, 표피낭종 치료 (의사작성 (0) | 2024.06.24 |
| 발바닥 혹/ 표피 낭종 치료 및 관리 (0) | 2024.06.14 |
| 발등뼈 골절의 수술적 치료와 재활 과정 (0) | 2024.06.10 |
| 발등에 혹이 생겼어요? 발등 결절종 진단 및 치료 (의사작성) (0) | 2024.05.29 |